LillyAllenDesigns
Jasminsmagicworld
BarkalooDesign
Artiststas
AdoDesignShop
JahusDesignShop
BundleAndBundleShop
HRA Design Shop
FaDigitalArtStudio
[email protected]
OliviaCreatesArt
CowGirlArtShop
HowdyJamesFarm
TumblerDesignByShophia
RanaPortraitStore
CTS Tumbler Store
Zillion Design Studio
NancyCooperArtShop
Texasbilliewilder
MaliasSmallBusiness
Muks_Shop
Rvexell
NReaL
Oittostudio
Nteklah
Melllux
PUBLICTEES
Gear_desain
Erdiyan
C
East Asian blepharoplasty or double eyelid surgery Savvy Tokyo Very well made.
trending Japanese mum convinces 9 year old daughter to have double eyelid surgery to look beautiful TODAY Very well made.
Japanese mum urges daughter 9 to undergo eye surgery to look beautiful The Weekly Times Very well made.
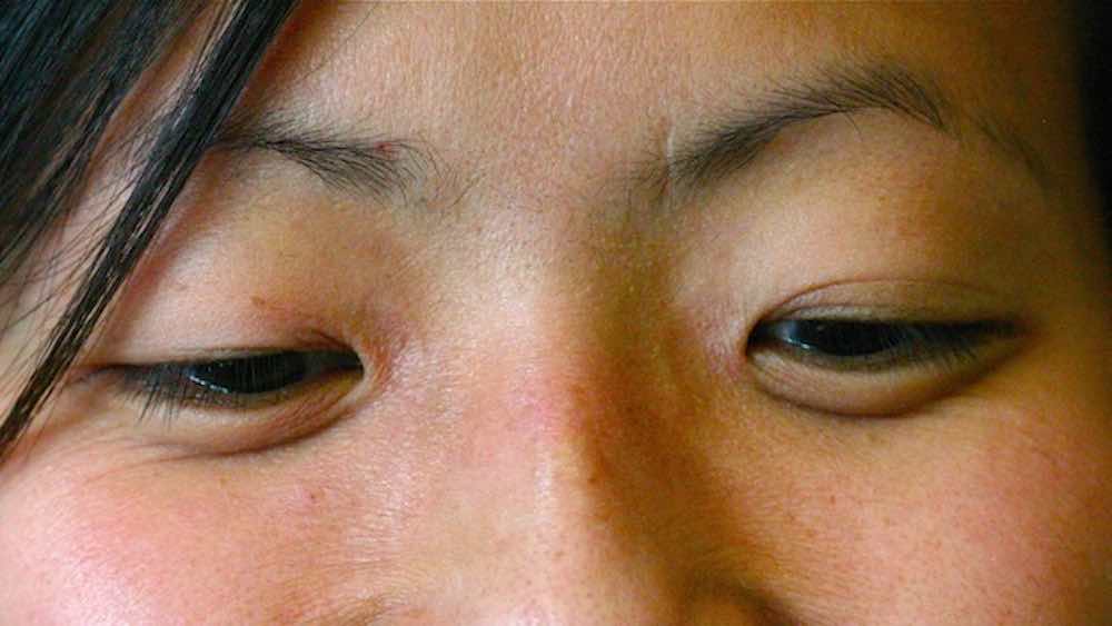
Before and After Eyelids Hugo Higa MD Eyelid and Facial Surgery Very well made.
Epicanthotomy Japan s leading beauty health and regenerative medicine clinic Bianca Ginza Very well made.